近日,吉大二院呼吸与危重症医学科成功实施ECMO支持下的双肺同期大容量灌洗术,攻克了肺泡蛋白沉积症治疗领域的技术难题。这一突破性进展,使吉大二院成为国内少数具备此项高难度手术能力的医疗中心,标志着吉大二院在呼吸系统疾病治疗方面达到了新的高度。
棘手病例,多学科会诊定方案
患者为老年男性,因呼吸困难来吉大二院呼吸与危重症医学科门诊就诊,呼吸介入中心主任尹金植教授为患者行气管镜冷冻肺活检,确诊该病例为肺泡蛋白沉积症(PAP)。该病为少见的间质性肺疾病,以肺表面活性物质在肺泡中积聚为特征,导致进行性低氧血症或呼吸衰竭,大容量全肺灌洗术是目前治疗PAP唯一有效的方法,可在短时间内消除肺泡与细支气管内大量的蛋白类物质,改善肺泡内的气体交换障碍。
然而,该患者肺部病变严重,术前肺换气功能严重低下,存在呼吸衰竭,若采用常规气管插管全麻进行全肺灌洗,风险极高。为此,吉大二院呼吸与危重症医学科、麻醉科、重症医学科、心血管内科、放射医学科等多学科专家进行会诊,最终制定了 ECMO 支持下双肺同期大容量灌洗术的治疗方案。
如期手术,多团队协作保成功
8月25日,手术正式进行。首先,由吉大二院重症医学科 ECMO 小组顺利建立 V-V ECMO 体外循环,为手术提供了关键的生命支持。随后,麻醉科医师成功实施全麻下双腔气管插管及单肺通气术。在尹金植主任的带领下,呼吸与危重症医学科的马天罡副主任、张庆华副主任医师、高蓉副主任医师、王艳副主任医师、郝杰主管护师、王爽呼吸康复治疗师及谢明希呼吸康复治疗师等组成的手术团队,为患者进行了双肺同期大容量灌洗术。
手术历时4个小时,双肺共灌洗生理盐水25000ml,乳白色混浊灌洗液最终转为清澈,整个过程未发生呼吸和循环严重不良事件。术后患者重新插入7.5号气管导管,经支气管镜吸出少量肺内残余液体,由ECMO转运回重症监护病房。术后第3日,患者顺利撤离ECMO及有创呼吸机,转回普通病房,生命体征平稳,呼吸困难明显减轻,氧合较术前明显改善。

▲ECMO置管

▲双肺同期大容量灌洗

▲灌洗液

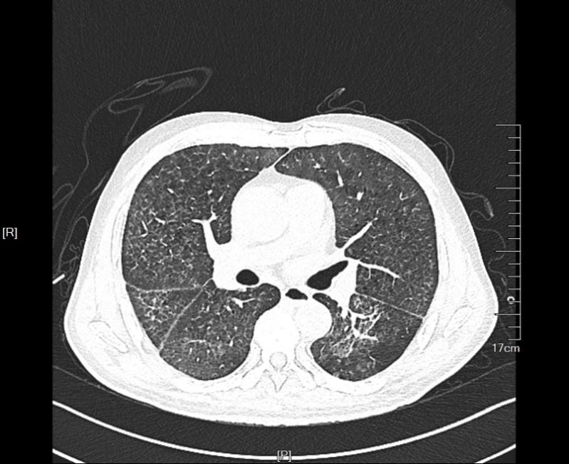
▲术前CT

▲术后CT
技术发展,双肺灌洗优势凸显
大容量全肺灌洗术在我国医疗领域已有近40年的发展历程。该技术最初于1986年开展,主要应用于尘肺病治疗。2008年这项技术正式纳入我国医疗服务项目,适用于尘肺病、肺泡蛋白沉积症、吸入性肺炎等疾病。
大容量全肺灌洗术主要有两种技术路径:传统的单肺分期灌洗和更新的双肺同期灌洗。传统单肺分期灌洗需要两次洗肺间隔7~10天,而双肺同期大容量灌洗对患者一次麻醉后完成两肺灌洗,大大提高了手术的有效性。然而,肺泡蛋白沉积症相关的难治性低氧血症和肺泡灌洗过程出现的低氧,会严重影响手术操作,而且许多高龄、心肺功能储备差的患者行单肺通气往往难以维持氧合,很难完成双肺长时间的灌洗。截至2025年,国内能独立开展双肺同期大容量灌洗术的医院并不多,在ECMO支持下开展此技术的医院更为有限。
强强联合,开创治疗新模式
本次手术采用了ECMO技术与双肺同期大容量灌洗术相结合的方式,为患者提供了双重保障。ECMO技术为手术提供了全程稳定的氧合支持,彻底解决了传统灌洗术中患者因单肺通气导致的低氧血症风险,使团队能够从容完成整个灌洗过程。双肺同期灌洗技术相比传统分期灌洗具有显著优势,减少了患者多次麻醉的风险和痛苦,同时大幅缩短了治疗周期和住院时间。这种“强强联合”的治疗模式,代表了当前肺泡蛋白沉积症治疗的最高技术水平,目前国内仅有少数三级甲等医院或区域性医疗中心能够开展。此次手术的成功,标志着吉大二院已经具备国内一流的综合救治能力。
近年来在呼吸与危重症医学科王珂主任及呼吸介入中心尹金植主任的带领下,吉大二院呼吸与危重症医学科在呼吸介入领域取得了长足进步,逐步构建起了完善的技术体系和人才梯队。本次ECMO支持下双肺同期大容量灌洗术的成功实施,充分证明了吉大二院在处理呼吸系统疑难危重疾病方面的综合能力已经达到国内先进水平,也为吉林省内外的肺泡蛋白沉积症患者带来了新的希望。未来,吉大二院将利用这项技术,造福更多呼吸系统罕见病和疑难病患者,为健康中国建设贡献专业力量。

亚泰院区
正常工作时间
自强院区
青年院区
官方微信公众号
用户登录
还没有账号?
立即注册