(李昕 报道)目前,脑血管病已成为我国公民的首要致死病因之一,且近十年间发病率不断攀升,年轻化趋势不断加剧。我国脑血管病防治工作虽然已取得初步成效,但就当前脑卒中的防治工作仍任重道远。
防控脑血管疾病,应先从前期诊断开始。影像学评估在脑血管病的防治过程中,无论对于脑血管病预防还是治疗都有着重要的指导意义,这也是实现精准诊断和精准治疗的前提和保证。
2019年2月,我院放射线科正式与中国人民解放军总医院(301医院)合作,开展多模态MRI影像创新技术在脑血管病诊疗的临床应用,试图为临床提供更精准的数据评估,真实有效地帮助到病人和临床诊治。多模态影像检查,包括常规平扫、DWI、SWI、MRA及灌注成像,在多模态诸多序列中,磁共振灌注成像的地位尤为重要。而我院放射线科在省内率先开展的无需造影剂,安全无创的3D ASL全脑容积灌注成像技术,是缺血性脑血管病诊治过程中不可或缺的一把利器。
在临床上以头晕或短暂性脑缺血发作为临床表现的病人中,很多都存在潜在大血管病变,因为病人自身存在着充足的血供代偿,在一般的CT或MRI常规平扫检查可能并不能显示脑实质内异常改变。但如果进行磁共振脑灌注检查和血管成像,便可发现潜在的大血管病变,并进行精准的影像学评估。另外,通过磁敏感加权成像(SWI)也可以更敏锐地发现微出血灶等慢性出血的信息。这些信息对指导临床制定下一步的治疗方案以及病人远期风险评估都有非常重要的意义。

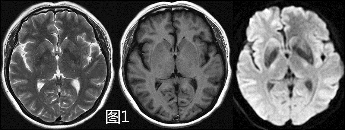
图1 头部MR平扫(T1WI、T2WI、DWI)

图2 (a)、(b) 3D-ASL脑灌注成像;(c) TOF-MRA
例如,某位女性患者,48岁,经常头晕。常规MRI平扫序列(如图1所示),未见异常信号改变。而在3D ASL脑灌注检查后,则可以发现右侧大脑中动脉供血区大片低灌注区。虽然TOF MRA(图2C)序列可以帮助发现大血管狭窄或闭塞,但仅仅停留在形态学上的诊断。因为对于同样的大血管病变,因个体代偿能力不同其预后和治疗后风险也不同,因此进一步的灌注水平的评估极为重要。
通过上述具体病例的介绍,可见针对这些以TIA发作为主诉的病人充分的影像学评估是进一步风险防范的关键。而磁共振脑灌注成像,可以发现在常规平扫不能显示的潜在大血管病变。我院放射线科开展的3D ASL脑灌注成像,可以在不使用对比剂的情况下,安全无创的对潜在大血管病变进行精准评估,并且能够准确评估患者预后是否良好。可见作为脑卒中诊疗的关键环节,多模态磁共振检查在脑卒中诊疗过程中可以实现完全无创的血管成像和灌注等一站式检查,可以更敏感地发现潜在大血管病变并评估病人自身代偿水平。这对于评估远期不良事件的发生率具有重要的指导价值。

亚泰院区
正常工作时间
自强院区
青年院区
官方微信公众号
用户登录
还没有账号?
立即注册