(皇甫明美 报道)日前,甲状腺外科联合肾病内科、ICU、核医学科、麻醉科、电诊科等科室组成的MDT团队,成功为一名继发性甲状旁腺功能亢进患者实施了甲状旁腺全部切除术。术后第一天,患者的骨痛症状便“神奇”消失,目前患者已顺利出院,且随访治疗效果理想。


据了解,患者是一名29岁的男性,已透析治疗11年,2年前发生继发性甲状旁腺功能亢进(SHPT),1年前骨痛逐渐加重,行走困难,面部变形,上颌肿大,鼻子扁平,凹陷变宽,面部呈现“狮面症”。由于上下颌增大,患者出现了严重的口齿不清,随后出现呼吸困难。此外,患者全身骨骼也出现严重变化,身高降低、脊柱畸形、四肢畸形,这使患者行走困难。日夜持续的骨痛、呼吸困难和长期卧床严重影响了患者的生活质量。
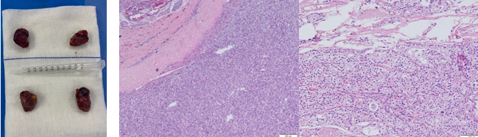
该患者到我院就诊时,张弘教授接诊了该患者,并启动MDT为患者制定个体化治疗方案。术前患者甲状旁腺激素(iPTH)水平为2000 pg/mL,血钙2.49 mmol/L,血磷2.44 mmol/L。彩超提示甲状旁腺区见4个低回声、边界清楚、部分微钙化的结节,提示双侧甲状旁腺增生。99mTc-MIBI甲状旁腺双时像显像准确定位了3个增大的甲状旁腺。结合核医学科和超声科的精准定位,患者SHPT诊断明确。

患者基础疾病较多、营养状况差,麻醉科高度重视,潘振祥主任亲自主持会诊,严密制定麻醉和应急方案。在麻醉科的紧密配合下,张弘教授为患者进行手术治疗,术中发现四枚增大的甲状旁腺并全部切除,术中病理证实其均为增生的甲状旁腺组织。术后患者拔管清醒抵达ICU,观察一夜病情稳定。术后第1天,患者的骨痛症状“神奇”地消失了。随后,患者安返肾病内科病房,经过肾病内科的精细治疗,患者已可离床活动,顺利出院。至此,一场以病人为中心的多学科治疗顺利完成。在术后随访的1年中,患者恢复良好。
继发性甲状旁腺功能亢进(简称继发性甲旁亢),是指在慢性肾功能不全、肠吸收不良综合征、Fanconi综合征和肾小管酸中毒、维生素D缺乏或抵抗以及妊娠、哺乳等情况下,甲状旁腺长期受到低血钙、低血镁或高血磷的刺激而分泌过量的PTH,以提高血钙、血镁和降低血磷的一种慢性代偿性疾病的临床表现。
大多数SHPT患者在疾病早期没有明显的临床症状,随着SHPT的进一步发展,可发生多系统损伤,患者可出现不同程度的皮肤瘙痒与皮肤内钙沉着,软组织、血管钙化、骨痛、骨骼畸形、进行性毁容、视力损害、耳聋、吞咽困难、气道阻塞,甚至会出现压迫性神经病变等症状。患者病程长,骨痛更是时刻折磨着患者的肉体和精神,很多患者因为无法忍受日以继夜的疼痛而精神失常。手术可即时消除骨痛,延缓全身组织的钙沉积,患者术后获得久违的安睡,精神压力和身体症状都得到明显缓解,有效提高了患者的生活质量,降低全因和心血管死亡率。

SHPT患者一般病情复杂,需要多学科力量,甲状腺外科联合肾病内科、ICU、核医学科、麻醉科、电诊科等科室形成的MDT团队凝聚了多学科优势力量,为每一位患者全方面评估制定个体化治疗方案。目前在全国仅有少数医院开展此类治疗,我院已顺利完成手术近百例,手术效果确切,为省内患者带来福音。

亚泰院区
正常工作时间
自强院区
青年院区
官方微信公众号
用户登录
还没有账号?
立即注册