65岁的成大伯于2年前在体检时发现左侧颈动脉斑块。近日,他来到我院超声医学科复查,发现左侧颈动脉斑块明显增大。由于听说斑块可能会脱落引起“脑梗”,成大伯非常紧张,“我平时身体没有什么症状,就是年轻时喜欢抽烟喝酒,现在已经戒烟了,这斑块怎么越来越大呢,有没有脱落的风险,该怎么办呢?”
面对成大伯的各种疑惑,在超声医学科吴慧颖副主任和血管组组长李彤副教授的建议下,成大伯进行了颈动脉超声造影检查。检查中发现,成大伯的颈动脉虽然没有达到重度狭窄,但斑块内有一些的新生血管分布,属于不稳定斑块,存在破裂风险。临床医生根据超声检查等结果进行综合评估,建议成大伯暂时不做手术,但需要戒烟酒,服用他汀类药物来改善斑块稳定性,抑制斑块进展,从而减少脑卒中发生。
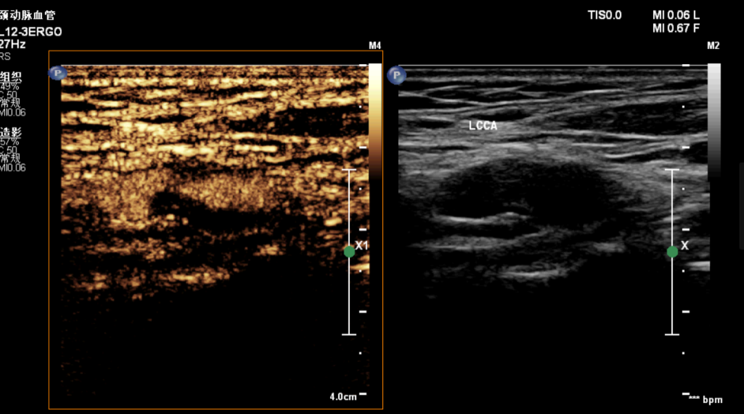
通过注射造影剂得到成大伯的超声造影,检查双幅对比图像,明确了颈动脉低回声斑块的边界并检测到其内的新生血管。
相信很多人对超声造影都不了解,今天给大家介绍一下颈动脉的超声造影。
颈动脉是一个向大脑供血的主要通道,也是反应全身动脉的理想窗口。颈动脉硬化是全身动脉硬化的局部表现,与冠心病与脑血管病显著相关。颈动脉斑块多发于颈总动脉分叉处,斑块可以导致血管狭窄,斑块破裂出血、血栓形成,促使斑块快速增大,进而引起缺血性脑血管病,也就是俗称的“脑血栓”。
研究发现,颈动脉斑块内新生血管是斑块的发生、发展、不稳定甚至破裂的重要原因。超声造影评价颈动脉斑块的稳定性是近年出现的,新型、无创、无辐射、可定量评估斑块内新生血管的手段,与DSA和CTA有较强的一致性。
什么样的人能做颈动脉超声造影?
超声造影剂为微泡造影剂,主要经肺通过人体正常呼吸排出体外,因此几乎适用于所有患者。可以短时间重复进行,尤其适用于对放射线造影剂过敏或轻度肾功能不全的患者。
颈动脉超声造影需要做什么准备?
患者一般无需特殊准备。
颈动脉超声造影有哪些临床应用价值?
1.可以清楚显示颈动脉管腔,避免伪像的干扰。
2.可以清楚显示颈动脉残余管腔,尤其可以用于鉴别颈动脉完全闭塞和重度狭窄。
3.可以对斑块内新生血管进行评估,判断斑块的稳定性。
4.可以更好的显示颈动脉夹层动脉瘤。
5.对于颈动脉支架术后的病人,通过造影可以观察到是否有细小瘘口的存在以及是否存在术后再狭窄。
6.可以帮助鉴别不规则斑块表面是否有血栓附着。
所以,如果您有高血压、糖尿病、高血脂、高尿酸等基础疾病或脑卒中、冠心病等家族史,一定要重视自身的血管健康,建议每年应进行一次颈动脉超声检查。通过常规血管超声检查发现斑块,超声造影检查评估斑块的稳定性,以利于临床医生及时进行早期干预,稳定斑块,让心脑血管疾病远离您。
目前,我院超声医学科现已开展颈动脉血管造影检查,可更好的为临床诊疗提供帮助,为您的健康保驾护航。

亚泰院区
正常工作时间
自强院区
青年院区
官方微信公众号
用户登录
还没有账号?
立即注册