近日,吉大二院头颈外科刘学识博杰主任带领手术团队应用第四代达芬奇机器人在吉林省内率先开展并成功完成了声门上型喉癌经口机器人手术(Transoral Robotic Surgery,TORS),是我院头颈外科在头颈肿瘤手术治疗领域的新探索,在吉林省内尚属首例。
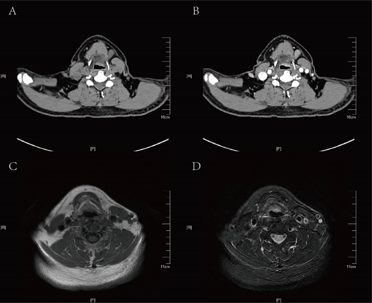
患者为61岁男性,因“咽部疼痛2个月”来吉大二院头颈外科就诊。电子喉镜检查发现会厌喉面病变(图1)。喉部影像学结果提示会厌喉面占位性病变(图2)。病理结果为喉恶性肿瘤。
▲图1:术前电子喉镜检查(A,B,C:白光图像;D,E,F:NBI图像)
▲图2:术前喉CT平扫+增强(A,B)及喉MRI平扫(C,D)
在对患者病情及机器人进行综合评估后,刘学识博杰主任带领的头颈外科团队决定借助目前国际上最先进的达芬奇机器人手术操作系统为患者实施TORS声门上型喉癌喉部分切除术。经充分暴露肿瘤及调节机器人操作臂位置摆放等术前准备就绪后,主刀医生刘学识博杰主任操控着机器人手臂开始精准切除肿瘤(图3),在麻醉科医生岳静及手术室护士高盼的大力协作下,助手赵雪副教授、刘悦主治医师、郭颖媛主治医师及团队医师的默契配合下,肿瘤被完整切除(图4)。术中经口精确调节手术视角,未行气管切开术,术中出血少。术后病理结果证实为(声门上半喉)高分化鳞状细胞癌,切缘未见癌,双侧颈淋巴结未见癌转移(图5)。患者术后恢复良好,术后第三天即可进食,无呛咳,术后第五天顺利出院,患者及家属对手术效果十分满意。刘学识博杰主任团队用最微创的先进手术技术为该名声门上型喉癌患者提供了精准化及智能化的治疗方案。
▲图3:刘学识博杰主任操作第四代达芬奇机器人手术系统
▲图4:手术室合影
▲图5:术后病理结果
喉癌TORS技术是基于经口激光显微喉癌切除的技术延伸,相比于传统的开放性手术(创面较大),TORS具有手术可视化更加清晰、手术操作更灵活、震颤过滤、手术创伤减小、愈合快、降低人力成本、减轻医生疲劳等优势,能够辅助术者更加精准、安全微创地切除病灶,提高手术质量和水平,为头颈部肿瘤患者提供了一种新的手术治疗方案,极大地推动了头颈部肿瘤微创手术的发展。该手术的成功开展,也标志着我科微创外科手术技术进入了新纪元。吉林大学第二医院头颈外科团队在金春顺主任、辛丁主任、刘学识博杰主任以及许承弼副主任的引领下,进一步夯实基础、开拓创新,为更多的头颈部肿瘤患者提供更优质的治疗,不遗余力地为广大人民健康保驾护航。

亚泰院区
正常工作时间
自强院区
青年院区
官方微信公众号
用户登录
还没有账号?
立即注册